Récidive d’Hallux valgus
Dans notre centre, il est fréquent de voir de nouveaux patients consulter pour récidive d’un hallux valgus, voire une aggravation des douleurs après la chirurgie. Le plus souvent, la situation est complexe, avec des patients « traumatisés psychologiquement » par l’échec de la première intervention.
Dans la majeure partie des cas, heureusement il y a eu une chirurgie première non optimale. Dans ce cas, l’obtention d’une amélioration est plus aisée. Néanmoins, il ne faut pas attendre le même résultat que pour une cure d’hallux valgus, pratiquée en première intention. Ainsi, la chirurgie de reprise s’inscrit plus comme une «chirurgie de récupération ou de correction». Le but étant surtout de vous faire remarcher sans douleurs.
Malheureusement les os du pied sont petits, et ne permettent pas de multiples reprises comme à la hanche, ou au genou. Les principaux motifs de consultation sont:
- un raccourcissement trop important de l’hallux avec douleurs déportées sur les têtes de métatarsiens latéraux.
- une récidive à distance (souvent ostéotomie insuffisante de redressement du premier métatarsien).
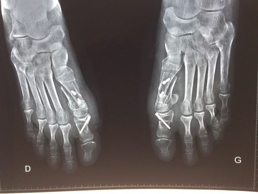
- une vis trop longue gênant le chaussage, ou intra-articulaire. On conseille, par ailleurs, de ne pas retirer le matériel au niveau du membre inférieur avant 12 à 18 mois.
Pensez à ramener en consultation pour récidive d’hallux valgus ou douleurs post-chirurgicales, les radiographies avant/après, et à récupérer votre compte-rendu-opératoire (marque du matériel).




Quelques exemples avec vis intra-articulaire, raccourcissement du gros orteil avec métatarsiens latéraux trop longs, absence de correction de l’angle inter-métatarsien.

